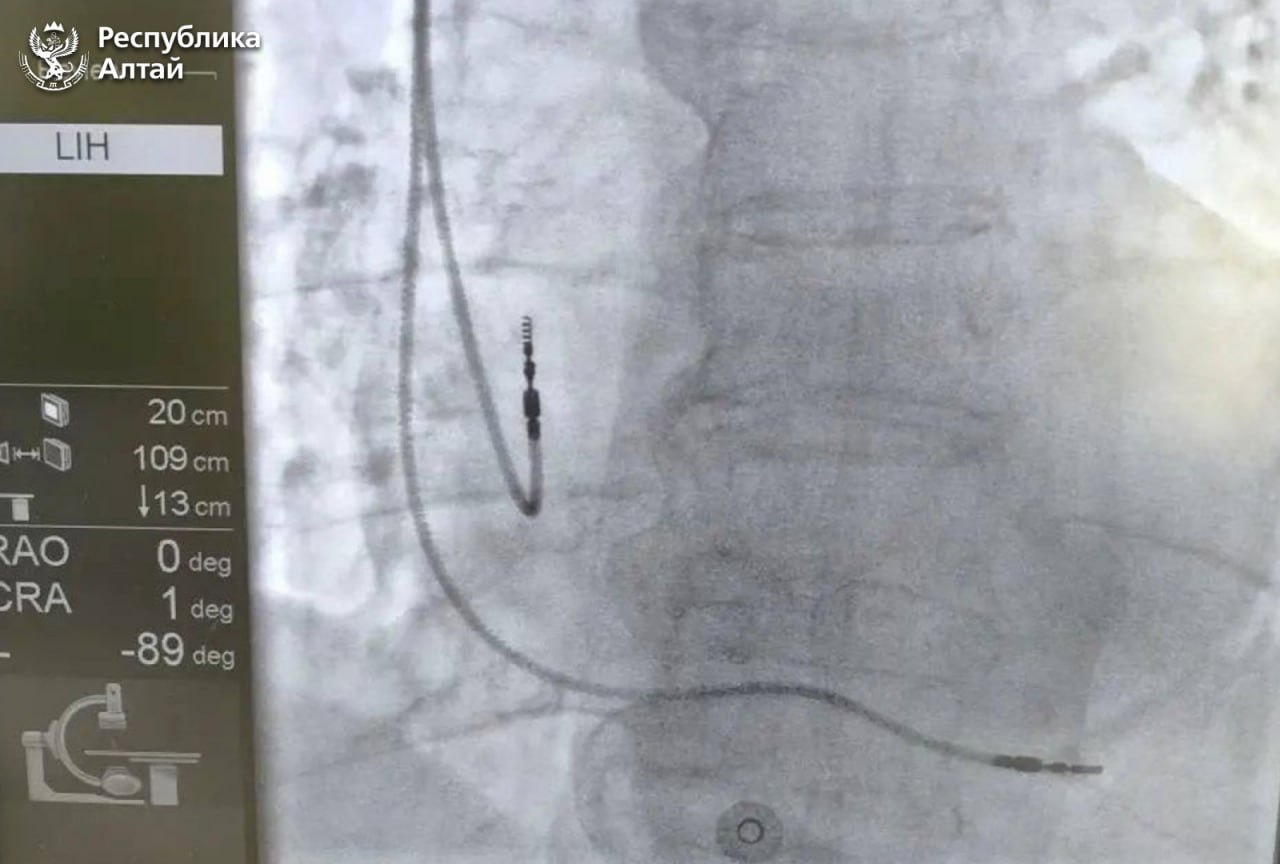
В Республиканской больнице впервые начали проводить операции по установке кардиостимуляторов. Об этом сообщил глава региона Андрей Турчак.
По его словам, это особенно актуально для пациентов с пониженным пульсом, а также блокадами и аритмиями, угрожающими жизни.
«Раньше чтобы попасть на такую операцию, жители ездили в Барнаул или Новосибирск. Теперь такой необходимости нет – процедура доступна в республике», – отметил глава.
Он добавил, что это удобно для пациентов, и позволяет сохранять средства обязательного медицинского страхования на развитие здравоохранения в регионе, чтобы решать другие важные задачи.
«На регулярной основе в республику будет приезжать сосудистый врач-хирург Илья Стенин с опытом работы в Национальном медицинском исследовательском центре имени академика Мешалкина. Чтобы не только проводить операции, но и обучать наших врачей», – подчеркнул Андрей Турчак.
В первый день работы прооперированы пять пациентов. Руководитель региона поблагодарил Минздрав республики за организацию этой работы.











































